Новости Москвы
2.8M подписчиков
MoscowaerНовости МосквыТехнологии

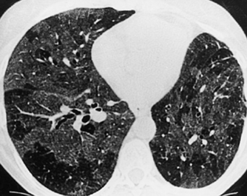
Российские врачи научились диагностировать «попкорновую болезнь» лёгких по нарастающей одышке и нарушению сна

Закреплено
📱 Присылайте фото и видео — это анонимно.
Новости Москвы
🫁 Количество случаев «попкорновой болезни» вейперов выросло на 30% за год У вейперов развиваются тяжёлые заболевание лёгких — EVALI и облитерирующий бронхиолит — это может перейти к необратимой дыхательной недостаточности. В основном страдают подростки и…
🫁 Российские врачи научились диагностировать «попкорновую болезнь» лёгких по нарастающей одышке и нарушению сна

Также признаками облитерирующего бронхиолита могут быть сухой кашель, свистящее дыхание, быстрая утомляемость, учащенное сердцебиение. В тяжёлых случаях — цианоз при развитии дыхательной недостаточности.
Комментарии

Новости всегда с вами

Добавьте иконку на главный экран — сайт будет открываться как приложение

Готово!

Иконка появится на главном экране. Сайт откроется как полноценное приложение

Новости Москвы